
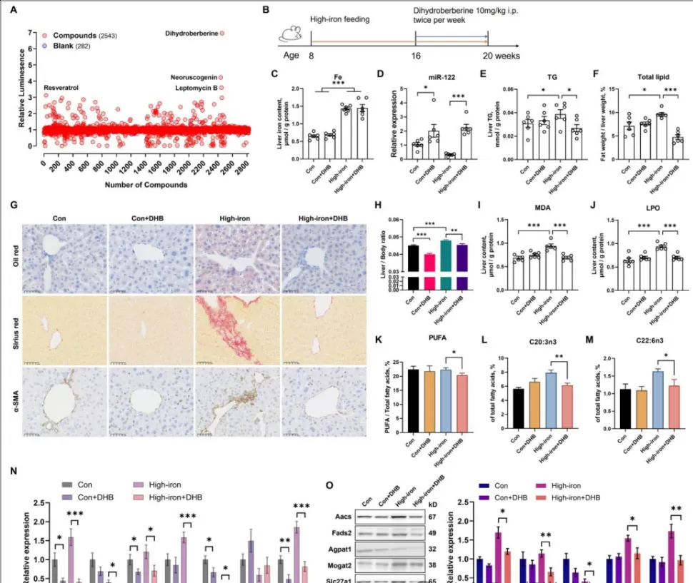
Abstrak: dalam kajian berkualiti tinggi yang diterbitkan pada mei 2025, satu pasukan penyelidikan dari jabatan pemakanan di universiti perubatan tentera laut tentera pembebasan rakyat direka "screening system sebuah novel"-menggunakan model wartawan luciferase untuk "monitor" aktiviti miR-122, serupa memasang "lampu isyarat" untuk miR-122. Apabila kompaun meningkatkan aktiviti miR-122, "lampu isyarat" mencerahkan. Seterusnya, mereka menjalankan pemeriksaan tinggi berskala besar 2,543 sebatian semulajadi, dengan berkesan mencari "rakan kongsi ideal" untuk miR-122.
Selepas pemeriksaan yang ketat, dihydroberberine muncul sebagai calon orang yg menonjol antara 2,543 sebatian semulajadi: ia bukan sahaja ketara upregulates miR-122 tahap tetapi juga mempamerkan ketoksikan selular tiada-menunjukkan keberkesanan dan keselamatan.
Dalam model tetikus tinggi-besi-diet-berpunca dari MASLD (disfungsi metabolik-berkaitan penyakit hati Steatotic), dihydroberberine menunjukkan kesan perlindungan hati yang luar biasa:
Mengembalikan tahap miR-122: membalikkan pengurangan besi yang disebabkan oleh miR-122, dengan berkesan mengaktifkan semula hati "pengawal selia".
Meningkatkan metabolisme Lipid: mengurangkan trigliserida hepatik dan jumlah kandungan lemak, yang membawa kepada hati "bersih" yang jelas (dibuktikan oleh pewarnaan minyak merah).
Mencegah kerosakan oksidatif: menurunkan tahap penanda peroksidasi lipid (contohnya, MDA, LPO), melindungi membran hepatocyte daripada degradasi.
Mengurangkan kecederaan hati dan Fibrosis: ketara mengurangkan ALT dan AST (penanda kecederaan hati utama) dan mengurangkan perkembangan fibrosis hepatik.

Rajah D: miR-122 peraturan-besi terlampau banyak disebabkan penurunan mendadak dalam ungkapan miR-122, manakala rawatan DHB dipulihkan ke tahap berhampiran normal.
Angka E-H: peningkatan metabolisme Lipid-beban besi yang disebabkan oleh trigliserida hepatik dan pengumpulan lipid total, yang dikurangkan berikutan pentadbiran DHB.
Angka I-J: pengurangan kerosakan oksidatif-beban besi meningkat produk oksidatif (MDA, LPO, dll), manakala rawatan DHB menurun dengan ketara penanda ini.
Angka K-M: pemulihan keseimbangan asid lemak-rawatan DHB membalikkan dysregulation yang disebabkan oleh beban besi asid lemak tak tepu dan mengembalikan nisbah asid lemak yang bermanfaat.
Angka N-O: Protein peraturan-besi terlampau banyak diganggu ungkapan Protein berkaitan lipogenesis, yang telah kembali pulih oleh campur tangan DHB.
Antara sebatian 2,543 yang ditayangkan, dihydroberberine (DHB) menonjol bukan secara kebetulan, tetapi dengan menunjukkan kedua-dua upregulation miR-122 yang paling kuat dan biocompatibility selular yang sempurna-asas kritikal untuk terjemahan klinikal.
Beban besi merosakkan hati melalui lata yang ditakrifkan:
Beban besi → kemalangan miR-122 → protein lipogenik yang dikawal selia → tekanan oksidatif pengumpulan lipid → memburukkan lagi penyakit hati.
DHB mengganggu mengganggu kitaran ganas ini oleh:
DHB tambahan → miR-122 pemulihan → ditindas lipogenic protein → mengurangkan pemendapan lipid dikurangkan kerosakan oksidatif → hepatik "cooling down".
Kajian muktamad menunjukkan bahawa DHB:
Upregulates miR-122 untuk melenyapkan gen memudaratkan (contohnya, Aacs, Fads2, CYPs) memandu lipogenesis dan pengoksidaan
Pada dasarnya memecah gelung maklum balas "besi berlebihan → metabolik disfungsi"
Menawarkan tindakan dual-peraturan metabolik dan hepatoprotection-untuk populasi yang menderita beban besi dan MASLD
Dari menjelaskan bagaimana besi dan miR-122 secara sinergis membahayakan hati, untuk mengenal pasti DHB melalui sc sistematikReening, penyelidikan ini menerangi saluran terapeutik yang menjanjikan untuk campur tangan MASLD.
Rujukan:
Yuxiao Tang 1, Zelong Gao et al. Memecahkan sinergi beban besi dan miR-122 untuk menyelamatkan pengumpulan lipid dan peroksidasi di MASLD. Ahli farmasi Res. 2025 mei: 215:107728.